Orthodontie et coquilles évolutives

Un sourire harmonieux ne se limite pas à l’esthétique. Un bon alignement des dents améliore aussi la mastication, la phonation et l’hygiène bucco-dentaire, réduisant ainsi les risques de caries et de maladies des gencives. L’orthodontie permet de corriger les malocclusions, les chevauchements dentaires et autres problèmes d’alignement pour retrouver un sourire équilibré et fonctionnel.

Que vous optiez pour des broches dentaires traditionnelles ou des aligneurs transparents, nous vous accompagnons à chaque étape pour assurer un traitement confortable et discret. Prenez rendez-vous pour une consultation et découvrez la meilleure solution pour votre sourire!

Qu’est-ce que l’orthodontie?

L’orthodontie vise à corriger les problèmes d’alignement des dents et des mâchoires. Un traitement orthodontique permet non seulement d’améliorer l’apparence du sourire, mais aussi de prévenir l’usure prématurée des dents. Cela permet aussi d’éviter les troubles de l’articulation temporo-mandibulaire (ATM).Les traitements orthodontiques s’adressent aux enfants, adolescents et adultes, avec différentes options adaptées aux besoins de chacun:

  • Broches dentaires classiques métalliques ou en céramique.
  • Aligneurs dentaires transparents, une alternative discrète et amovible.
  • Appareils fonctionnels, pour corriger la croissance de la mâchoire chez les jeunes patients.

Pourquoi envisager un traitement orthodontique

Un traitement orthodontique offre plusieurs avantages à long terme:

  • Alignement des dents pour un sourire esthétique et équilibré.
  • Amélioration de la mastication et de la digestion.
  • Prévention des caries et des maladies des gencives grâce à un accès plus facile au brossage et au fil dentaire.
  • Prévention de l’usure prématurée des dents due à une mauvaise occlusion.
Gros plan sur des broches dentaires en céramique transparentes posées sur les dents, offrant une solution orthodontique discrète

Les types de soins orthodontiques

Il existe plusieurs types de traitements orthodontiques adaptés aux besoins des enfants, adolescents et adultes. Chaque solution vise à corriger l’alignement des dents et des mâchoires, à améliorer l’esthétique du sourire et à optimiser la fonction masticatoire.

Nos dentistes généralistes formés en orthodontie utilisent des technologies avancées, comme les scans 3D, pour concevoir des traitements précis et personnalisés, qu’il s’agisse de broches dentaires classiques ou d’appareils orthodontiques invisibles.

Gros plan sur un miroir dentaire reflétant des bagues orthodontiques linguales sur les dents inférieures d’une patiente

Appareils de contention (rétention)

Après un traitement orthodontique, il est essentiel de stabiliser les résultats obtenus grâce à des appareils de contention:

  • Fil lingual: discret, collé à l’arrière des dents pour éviter le déplacement.
  • Coquilles de rétention: similaires aux aligneurs, elles maintiennent les dents en place.
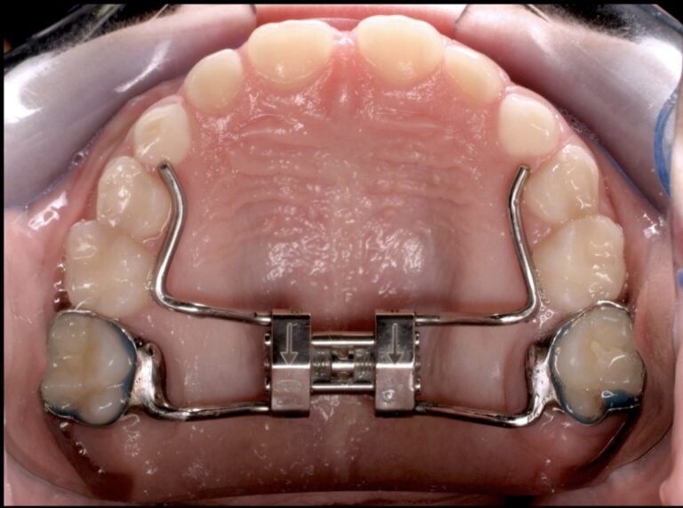
Vue intra-orale d’un disjoncteur palatin utilisé en orthodontie pour élargir l’arcade dentaire supérieure.

Appareils fonctionnels et d’expansion palatine

Ces dispositifs sont utilisés principalement chez les enfants et adolescents pour corriger la croissance de la mâchoire et éviter des traitements plus invasifs à l’âge adulte.

  • L’expansion palatine: élargit progressivement le palais pour corriger les problèmes d’espace.
  • Appareils propulseurs mandibulaires: stimulent la croissance de la mâchoire inférieure pour améliorer l’alignement.
Aligneur dentaire transparent pour redresser les dents - Soins de dentisterie esthétique Odontys

Aligneurs transparents (coquilles évolutives)

Les aligneurs dentaires transparents sont une solution discrète et amovible pour réaligner les dents progressivement. Ils sont conçus à partir d’une simulation numérique du traitement et sont changés toutes les une à deux semaines.

Avantages des aligneurs transparents:

  • Presque invisibles, parfaits pour les adultes et les adolescents.
  • Amovibles, permettant de manger et se brosser les dents sans contrainte.
  • Confortables, sans irritation des gencives ou de la langue.
Modèle de mâchoire avec broches orthodontiques et élastiques colorés, illustrant une approche ludique et personnalisée du traitement

Broches dentaires (appareils fixes)

Les broches dentaires sont le système orthodontique le plus couramment utilisé. Elles permettent un contrôle précis des dents dans les trois dimensions de l’espace. Le système est composé de:

  • Boîtiers métalliques: robustes et efficaces, ils sont personnalisables avec des élastiques de couleur.
  • Fils orthodontiques: assurent le déplacement progressif des dents.
  • Ligatures élastiques ou métalliques: maintiennent le fil en place et appliquent la force nécessaire au mouvement dentaire.
Femme portant un appareil orthodontique transparent avec élastiques intermaxillaires ajustés

Élastiques orthodontiques et accessoires

Certains dispositifs auxiliaires sont utilisés pour optimiser les mouvements dentaires:

  • Chaînes élastiques et ressorts: appliquent une pression ciblée sur certaines dents.
  • Élastiques intermaxillaires: reliés entre les mâchoires pour ajuster l’occlusion.

Le processus d’un traitement orthodontique

1. Consultation et diagnostic
  • Évaluation complète de la dentition avec scans 3D et radiographies.
  • Planification du traitement et choix du type d’appareil orthodontique.
1. Consultation et diagnostic
2. Pose des broches ou des aligneurs
  • Installation des broches dentaires ou remise des aligneurs transparents.
  • Explication des soins et ajustements réguliers.
2. Pose des broches ou des aligneurs
3. Ajustements et suivi
  • Rendez-vous réguliers pour ajuster les broches ou recevoir de nouveaux aligneurs.
  • Durée du traitement: entre 6 et 36 mois, selon la complexité du cas.
3. Ajustements et suivi
4. Phase de contention
  • Dans certains cas, une gouttière de rétention est posée pour maintenir les résultats obtenus.
4. Phase de contention
Paiement des soins dentaires à la réception d’une clinique dentaire, avec terminal et maquette de dents

Combien coûte un traitement orthodontique

Le coût d’un traitement orthodontique dépend de plusieurs éléments:

Facteurs influençant le coût

  • Type de traitement: traitement complet ou d’interception.
  • Durée du traitement, qui varie selon la complexité de la correction.

Options de paiement flexibles

Nous proposons des solutions de paiement adaptées pour rendre votre traitement orthodontique accessible.

Foire aux questions - FAQ

À quel âge commencer un traitement orthodontique?

Il est recommandé de consulter dès l’âge de 7 ans, afin de détecter toute anomalie de croissance et d’anticiper d’éventuels traitements.

La durée varie selon chaque cas, mais un traitement orthodontique dure généralement entre 6 et 36 mois, selon la complexité de l’alignement à corriger.

Oui, pour les malocclusions légères à modérées, les aligneurs dentaires transparents offrent une alternative discrète et confortable aux broches traditionnelles.

Une légère gêne peut être ressentie lors des ajustements, mais elle disparaît en quelques jours. Nos dentistes s’assurent de minimiser l’inconfort à chaque étape.

Les conseils d’hygiène seront expliqués par l’hygiéniste selon le type d’appareil utilisé.

Call Now Button